珈創生物 —— 生物技術服務與研發為一體的高新技術企業

優質高效透明

High quality, efficient and transparent

振奮 | 第一個COVID-19疫苗的公開數據,中國醫科院成功研制出新冠病毒滅活疫苗

發布時間:2020-04-22 14:46 信息來源: 閱讀次數: 次

面對肆虐的疫情,全球醫生和生物學家一直在全力尋找治療和預防COVID-19的方法,在幾乎不能有效控制的情況下,人類將更多期待投向了疫苗研發。

4月19日,中國醫學科學院醫學實驗動物研究所在bioRxiv上傳了COVID-19滅活疫苗的保護力文章,顯示這個疫苗研制十分成功、效果良好,且安全性良好。

這是我們知道的第一個COVID-19疫苗的公開數據,而之前的部分疫苗研究雖然進入了臨床試驗,但實驗數據并沒有被公布。Hanson解讀的特約科學家,一直在美國從事病毒研究的王宇歌博士,第一時間做了解讀。

滅活疫苗是疫苗開發中最傳統的方法之一。因為其工藝簡單,因此在急性傳染病爆發的時候,常常被作為優先開發的疫苗策略。

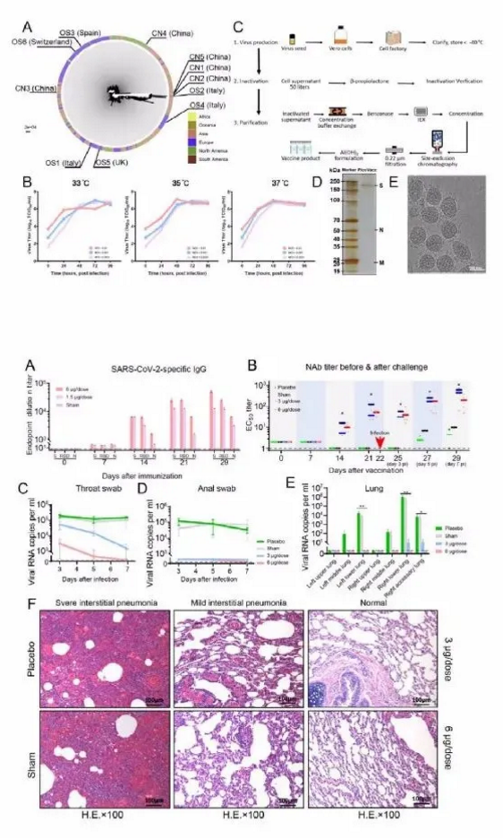
秦川課題組開發了純化的滅活疫苗PiCoVacc。該疫苗為多價疫苗,可以針對多個地區流行的病毒毒株。研究人員首先在Vero細胞系中培養病毒,收集病毒上清后應用β-丙內酯進行病毒滅活,之后進行純化,并制作成為疫苗制劑。

研究給予小鼠和大鼠接種PiCoVacc后,在實驗動物中獲得了高滴度SARS-CoV-2特異性IgG,接種6周后血清中和滴度可高達EC50 10e4,顯著高于之前文獻報道的康復患者血漿中抗體水平。而且免疫血清反應廣譜,可以中和10個種不同SARS-CoV-2毒株。研究給予恒河猴免疫了兩種劑量(3ug和6ug)PiCoVacc,以模擬人的接種情況,發現該疫苗接種安全,恒河猴在接種7天后即產生了高滴度(10e3)中和抗體。給恒河猴攻毒后,無ADE效應,進一步提示疫苗安全性良好。攻毒后,6ug接種組可將喉和直腸中病毒載量控制到檢測臨界值(基線)以下,而3ug和6ug組產生的免疫應答可將肺組織中病毒載量控制到基線以下。疫苗接種后恒河猴無肺病理損傷。提示該疫苗有高效保護力。除此以外,PiCoVacc不會造成T細胞激活和細胞因子釋放。

image.png